Biomécanique : Maîtriser les clés de l'excellence en orthodontie
Organisé par
Cette formation immersive propose une exploration approfondie des dernières innovations en orthodontie, avec un accent particulier sur l’intégration des mini-vis (Temporary Anchorage Devices – TADs) et des aligneurs dans les plans de traitement modernes. Elle combine théorie, échanges interactifs, démonstrations techniques et sessions cliniques en direct.
Partie théorique- Maîtrise de la réflexion clinique, du diagnostic et de la planification du traitement avec mini-vis
- Sites d'insertion : spécificités, avantages et indications
- Techniques de pose : protocole et précision
- Gestion des risques anatomiques
- Biomécanique des mini-vis
- Aligneurs vs appareils fixes : facteurs décisionnels et critères cliniques
Partie pratique
Des démonstrations en direct de la pose de mini-vis seront réalisées avec commentaires en temps réel. Chaque intervention sera précédée d’une analyse de cas et d’une discussion du plan de traitement.
Avant la pose :
- Analyse du cas clinique
- Discussion du plan thérapeutique
Pendant la pose :
- Démonstration technique avec explication en direct
Après la pose :
- Débriefing clinique
- Session de questions-réponses
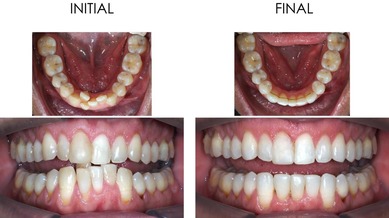
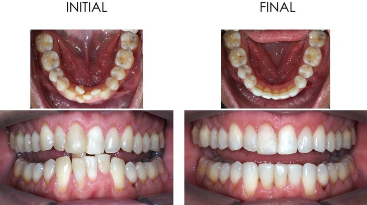
Les cas sélectionnés couvriront une large gamme de malocclusions afin d’illustrer la diversité des indications et des approches thérapeutiques.
Liens et documents
Conférenciers
Contact
- Ann-Kristin Fayet
- 12 Boulevard Delcassé09100 PamiersFrance
Commentaires
Pas de commentaires pour le moment



