Organisé par
L’augmentation des érosions, des parafonctions et des dysfonctions occlusales impose une maîtrise rigoureuse du diagnostic des usures dentaires (attrition, abrasion, érosion, abfraction) et de leur prise en charge esthétique et fonctionnelle. Animée par le Dr Franck Moyal, expert en collage et réhabilitation complexe, cette formation vous plonge dans une approche moderne de l’analyse occlusale, de la gestion de la dimension verticale, du mock-up esthético-fonctionnel et des restaurations collées minimalement invasives.
Vous repartirez avec une méthodologie opérationnelle — la 3-steps technique — pour traiter ces patients avec fiabilité, reproductibilité et respect du gradient thérapeutique.
PROGRAMME
1. Présentation générale
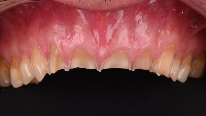
2. Typologie des usures
Érosion, attrition, abrasion, modèles d’usure, marqueurs de l’érosion, marqueurs de l’attrition, marqueurs de l’abrasion, classifications, cas cliniques
3. Méthodologie
Étapes de la prise en charge
4. Patient virtuel et planification esthétique
Premier contact, analyse dynamique, laboratoire, validation, réalisation d’une clé de mock-up
5. Enregistrement de la position mandibulaire
Techniques et protocoles d’enregistrement
6. Gestion des secteurs postérieurs
Augmentation de DVO, règle des tiers et répartition des espaces, réglages occlusaux
7. Gestion des secteurs antérieurs
Types de restaurations, classes d’Angle, cas cliniques :
Facettes palatines
Composites injectés
TACOs composite
Facettes bilaminaires
Facettes céramiques
TACOs céramiques
8. Choix de matériaux Comparatif en fonction des cas cliniques
9. Gestion du temps et tarification
Prévision du temps opératoire et grille tarifaire
10. Conclusion
Liens et documents
Conférenciers
Contact
- Charles Cohen
Commentaires
Pas de commentaires pour le moment

